Υγεία
Κορονοϊός - Μαγιορκίνης: Σοκάρουν οι αξονικές νέων που νόσησαν (εικόνες)
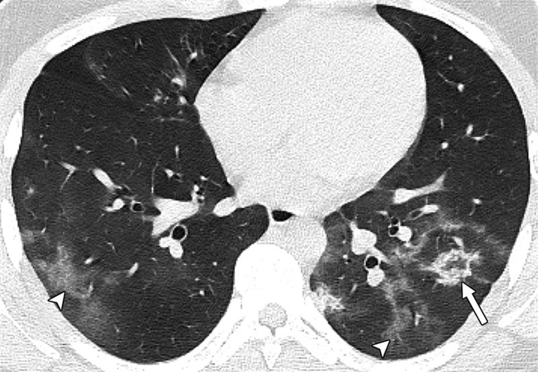
Μήνυμα για τον εμβολιασμό των νέων, δείχνοντας τις σοβαρές βλάβες που προκλήθηκαν στους πνεύμονες.

Ηχηρό μήνυμα στους νέους για να εμβολιαστούν κατά της COVID-19, έστειλε ο Επίκουρος Καθηγητής Επιδημιολογίας και μέλος της Επιτροπής Εμπειρογνωμόνων, Γκίκας Μαγιορκίνης, μέσω μίας ανάρτησης που έκανε στα social media.
Το μήνυμα συνοδεύεται από αξονικές τομογραφίες νέων, κάτω των 18 ετών, που νόσησαν και δείχνουν τις σοβαρές βλάβες που υπέστησαν στους πνεύμονες.
Αναλυτικά η ανάρτηση του κ. Μαγιορκίνη:
«Μία εικόνα χίλιες λέξεις.
Αξονικές τομογραφίες νέων κάτω από 18 έτη με COVID-19 (18 ετών, 15 ετών, 14 ετών και 8 ετών). Κανένας ασθενής δεν είχε υποκείμενα νοσήματα ή ανοσοκαταστολή. Οι ασθενείς δεν χρειάστηκαν συμπληρωματικό οξυγόνο, διασωλήνωση ή ΜΕΘ. Πρόκειται για απλά-κοινά περιστατικά COVID-19.
Ωστόσο έχουν πολύ “εντυπωσιακές” βλάβες και είναι άγνωστο τι θα προκαλέσουν αυτές οι βλάβες σε βάθος χρόνου.
Για την πλειονότητα του κόσμου το ερώτημα είναι απλό: Θέλουν να υποβάλουν τους πνεύμονές τους σε αυτές τις βλάβες για να δουν αν αντέχουν; Και αν αντέξουν την πρόκληση (όπως προβλέπεται ότι θα αντέξουν οι περισσότεροι νέοι) θέλουν να δουν πόσα χρόνια ή αντοχές έχασαν στην πορεία;
Με το εμβόλιο προστατεύουμε τους πνεύμονές μας από βαρύτατη καταπόνηση!»


Καιρός: Έκτακτο δελτίο από την ΕΜΥ - Καταιγίδες και χαλάζι
Φωτιές: Νέα έκτακτη χρηματοδότηση σε πληγέντες Δήμους και Περιφέρειες
Καστοριά: ένα μινκ σκόρπισε… τον τρόμο
Ακολουθήστε το antenna.gr στο Google News και μάθετε πρώτοι όλες τις ειδήσεις!

