Υγεία
Κρήτη: Παιδί κατάπιε κέρμα και του στάθηκε στον λαιμό (εικόνες)
Περιπέτεια για το 4χρονο και λαχτάρα για τους δικούς του ανθρώπους, λίγο πριν το γύρισμα του χρόνου. "Συναγερμός" σήμανε στο ΠΑΓΝΗ.

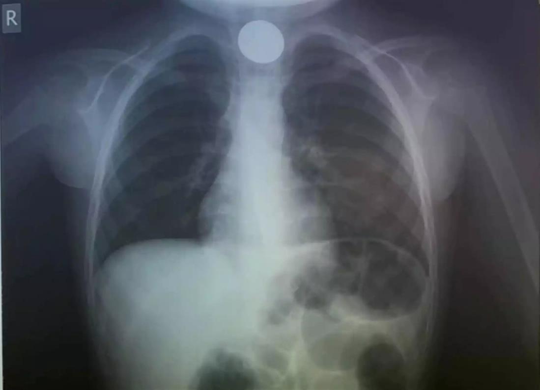
Αγωνία και λαχτάρα για ένα 4χρονο αγόρι και τους συγγενείς του, στο Ηράκλειο, καθώς το παιδί κατάπιε κέρμα που μάλιστα του στάθηκε στον λαιμό.
Ο μικρός μεταφέρθηκε από τους γονείς του στο νοσοκομείο, λίγες ώρες πριν την έλευση του 2024.
Η πρώτη κίνηση των γιατρών, ήταν να του κάνουν ακτινογραφία, για να δουν το σημείο που είχε σταθεί το νόμισμα.

Οι γιατροί στο ΠΑΓΝΗ κατάφεραν ταχύτατα να αντιμετωπίσουν το περιστατικό και το 4χρονο παιδί επέστρεψε σπίτι του και άλλαξε χρόνο με την οικογένεια του.
Οι γιατροί της Ωτορινολαρυγγολογικής Κλινικής του ΠΑΓΝΗ, σε ανάρτηση τους αναφέρουν , «Αποχαιρετάμε το 2023 με επείγουσα αφαίρεση σε κατάποση κέρματος σε 4χρονο. Καλή Χρονιά».
Πηγή: neakriti.gr
Λεμεσός: Νεκρά αδέλφια σε πολύνεκρο τροχαίο μετά την αλλαγή του χρόνου (εικόνες)
Διόδια: Οι νέες τιμές στις Εθνικές Οδούς
2024: Οι αργίες και τα τριήμερα της χρονιάς
Ακολουθήστε το antenna.gr στο Google News και μάθετε πρώτοι όλες τις ειδήσεις!

