Γενικά
Είχε για 28 χρόνια έναν φακό επαφής στο μάτι της ...χωρίς να το ξέρει! (εικόνες)
Θυμήθηκε την ύπαρξη του μόνο αφού υπέφερε από έντονο πόνο και πρήξιμο.

Ένας …ξεχασμένος φακός επαφής βρέθηκε στο μάτι μιας 42χρονης Βρετανίδας που “κουβαλούσε” εδώ και… 28 χρόνια!
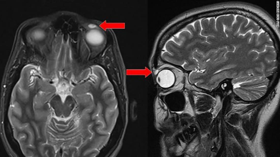
Η γυναίκα, υπέφερε από πόνο και πρήξιμο στο μάτι της και αποφάσισε να επισκεφθεί έναν οφθαλμίατρο. Ο γιατρός, ξαφνιασμένος, διαπίστωσε πως ο φακός επαφής ήταν «ανέγγιχτος», ίσως διότι είχε καλυφθεί σχεδόν κατά 100% από τον ιστό του οφθαλμού.
Σύμφωνα με αναφορά στο ιατρικό περιοδικό «BMJ Case Reports», ο οφθαλμίατρος ανακάλυψε μία κύστη έξι μηνών στο μάτι της γυναίκας και αμέσως προχώρησε στη διαδικασία αφαίρεσής της, κατά τη διάρκεια της οποίας ο φακός ράγισε και έσπασε.

Την απάντηση στο αίνιγμα για το πώς βρέθηκε ο φακός στο μάτι της, έδωσε η μητέρα της, η οποία θυμήθηκε ένα ατύχημα που είχε η κόρη της όταν έπαιζε μπάντμιντον πριν από 28 χρόνια.
Τότε, είχε χτυπηθεί στο αριστερό της μάτι και για ένα διάστημα φορούσε ημίσκληρους φακούς επαφής, ο ένας εκ των οποίων, όπως λανθασμένα θεωρούσαν οι γονείς της, είχε απλά πέσει και δεν είχε βρεθεί ποτέ.